産科 obstetrics

胎児超音波スクリーニング Fetal Ultrasound Screening

胎児超音波スクリーニングとは

通常の妊婦健診で行う超音波検査では、主に胎児発育(推定体重)、羊水の量、胎児の向きを確認しています。一方で健診の限られた時間内では、胎児を詳細かつ系統的に評価することが難しい場合があります。当院で行っている胎児超音波スクリーニングとは、高性能な超音波検査機器を用いて胎児の発育や形態(からだの構造)をより詳しく観察し、胎児の状態を丁寧に評価する検査です。 出産前に赤ちゃんの状態をより詳しく知りたいという患者さんのご希望にお応えするため、当院では超音波検査士*および超音波専門医・指導医**が胎児超音波スクリーニングを担当します。

赤ちゃんの3~5%は、何らかの病気や医学的な介入を要する状態をもって生まれてくるといわれており、その中には、妊娠中・出生時・出生後に緊急の対応を要するものも含まれます。 特に先天性心疾患は比較的頻度が高く、約100人に1人の赤ちゃんが先天性心疾患を合併し、重症度や緊急性の高い症例(生後に入院や手術が必要な症例)は約1000人に4人といわれています。

胎児超音波スクリーニングは、このような異常をできるだけ早期に見つけ、赤ちゃんの状態にあわせて安心・安全なご出産を迎えていただくための検査です。もし何らかの異常が見つかった場合にはご出産前に超音波専門医・指導医による精査、必要に応じて臨床遺伝専門医***による遺伝カウンセリング、小児科医・小児外科医による詳細な診察や出生後についてのカウンセリングを受けて頂くことが出来ます。

* 公益社団法人日本超音波医学会認定超音波検査士
** 公益社団法人日本超音波医学会認定超音波専門医・超音波指導医
***臨床遺伝専門医制度委員会認定 臨床遺伝専門医

(胎児超音波スクリーニングは自費診療であり、患者さんの自由意思に基づく任意の検査です)

当院の胎児超音波スクリーニングの特徴

使用機器

Voluson Expert 22®(GEHealthcare)という産婦人科領域におけるハイエンド超音波診断装置を使用しています。 従来機種と比べ、より高精細な画像描出性能と高度な解析機能を備えており、 胎児の発育や形態をより詳細に観察することが可能です。

超音波診断装置 Voluson Expert 22

検査の時期と分かること

通常、妊娠期間を通じて初期、中期、後期の3回に分けて行うことをお勧めしています。
妊娠週数により発育段階が異なり、観察しやすい部位や評価できる内容も変化するため、段階的に行うことが重要です。

初期(検査時期:11~13週/所要時間:20~30分)
妊娠初期は、胎児がヒトとしての基本的な形をつくる大切な時期です。主に心臓、脳、消化器、四肢などの重要な臓器が作られますが、その大きさはとても小さいです。
初期スクリーニングでは、首の後ろのむくみ(Nuchal translucency: NT)や鼻の骨、心臓まわりの血流などを確認し、胎児の体の特徴や発育の様子を丁寧に観察します。 これらの所見は、染色体数の変化と関連することがある特徴として知られており、21トリソミー/18トリソミー/13トリソミーなどの染色体変化の可能性を評価する指標となります。(本検査のみで確定診断はできません) また観察可能な範囲において脳や脊椎、心臓、消化管、手足などに大きな形態の変化がないかについても確認を行います。
胎児ドックの様子_初期 胎児ドックの様子_初期 胎児ドックの様子_初期 胎児ドックの様子_初期 胎児ドックの様子_初期 胎児ドックの様子_初期 胎児ドックの様子_初期 胎児ドックの様子_初期
中期(検査時期:18~21週/所要時間:20~30分)
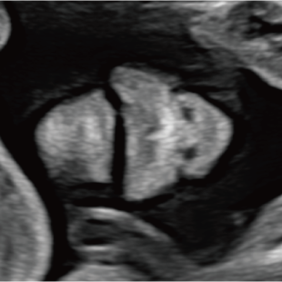
妊娠中期になると、胎児の体や内臓の構造がよりはっきりと確認できるようになります。 中期スクリーニングでは、頭部、顔面、頸部、胸部、腹部、心臓、手足、外性器、臍帯や胎盤など、全身をくまなく観察し、形態の状態を詳しく確認します。この頃に染色体数の変化を疑わせる所見が確認される事もあります。
胎児ドックの様子_中期_頭 胎児ドックの様子_中期_顔面 胎児ドックの様子_中期_心臓 胎児ドックの様子_中期_腹部 胎児ドックの様子_中期_足 胎児ドックの様子_中期_4D
後期(検査時期:28~32週/所要時間:20~30分)
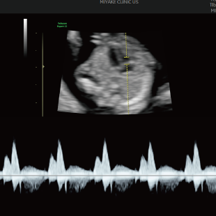
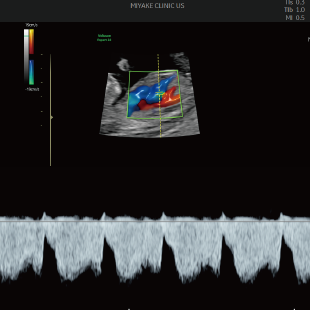
妊娠後期は、胎児の成長がさらに進み、発育の途中で現れてくる変化を確認できる時期です。中期の検査では問題が見られなかった場合でも、成長に伴って形態の変化が現れることがあります。また、構造だけではなく、胎児機能(赤ちゃんの元気度)の評価も可能となります。後期スクリーニングでは、各臓器の状態や構造に加え心臓の動きや血液の流れなどをより詳しく観察します。
胎児ドックの様子_後期_頭 胎児ドックの様子_後期_心臓 胎児ドックの様子_後期_心臓 胎児ドックの様子_後期_足 胎児ドックの様子_後期_4D

受診対象・ご予約について

胎児超音波スクリーニングは、妊婦健診時にご予約をお取りします。 検査当日は、胎児超音波スクリーニングの後に妊婦健診および、診察(スクリーニングの結果説明を含む)を行います。
胎児超音波スクリーニングは、当院でご出産される患者さんへの医療サービスとして行っておりますので、予約状況等により、他院出産予定の患者さんや転院予定の患者さんはご希望に添えない場合があります。また、お受け頂ける場合でも検査費用が異なりますので、予めご了承ください。
現在多くの患者さんからご予約をいただいており、予約枠が不足している状況です。他院通院中の方のスクリーニング目的での受診については、原則としてお受けしておりませんので何卒ご理解のほどお願いいたします。

予約
妊婦健診時に予約
来院
予約時間に来院
胎児超音波スクリーニング
超音波検査
診察・説明
妊婦健診+結果説明

検査後の流れ

胎児超音波スクリーニングの結果は、検査当日にお伝えします。
より詳しい評価が必要と判断された場合には、超音波専門医・指導医による精査外来をご案内します。また、状況に応じて臨床遺伝専門医による遺伝カウンセリングを受けていただくことも可能です。当院では小児科医・小児外科医とも連携し、出生後の治療や生活を見据えたサポート体制を整えています。 必要に応じて専門施設へのご紹介も行っています。

実績

当院ではこれまでに、数多くの胎児超音波スクリーニングを実施してきました。 豊富な経験と知見をもとに、精度の高い検査と丁寧な診療を行っています。

また、胎児超音波スクリーニングに関連した学術誌での論文発表や学会発表も多数行っており、 医療の質の向上に継続して取り組んでいます。
2022年5月から2025年12月の約4年間で、56件の論文発表、96件の学会発表を行いました。
当院で得られた知見や取り組みを日本国内のみならず世界へ発信することで、 患者さんへのさらなる貢献と超音波医療の発展を目指しています。